相册(存储)权限使用目的
当您在编辑主页头像、发布内容(主帖及回复)时,需要获取有关您设备的相册(读取)权限,未授权该权限不影响其他功能使用。
发表新帖
只看作者
收藏主题
上一主题
下一主题
举报楼主
中医交流
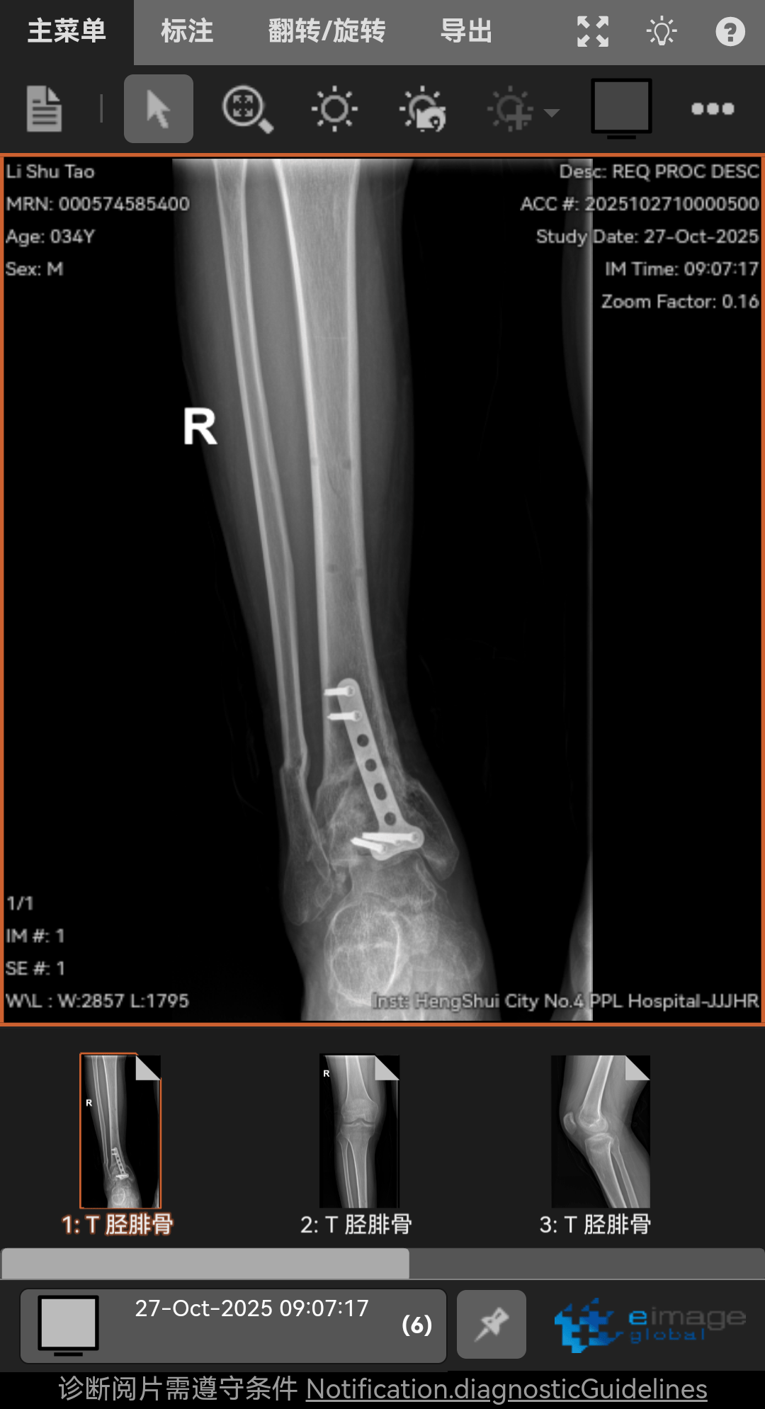
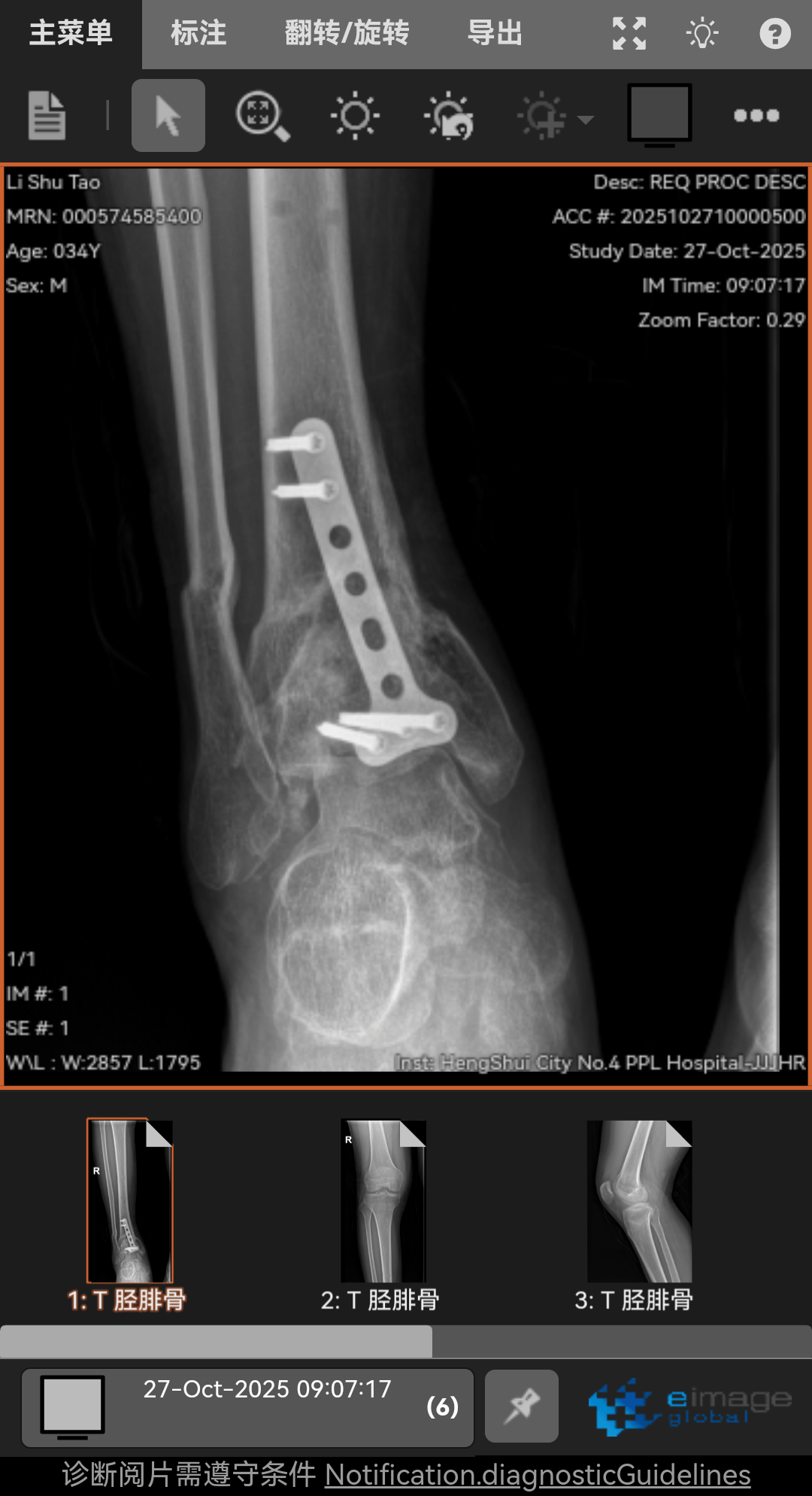
高坠骨折
用户10266366
前天17:48
10 浏览
高坠骨折,6个月了,脚底板麻木,按压有刺痛,我是汗脚现在脚底板干燥,怎么办呢?走路腿特别沉重脚踝活动还不行,膝盖伸不直有点积液,怎么办呢!求求兄弟姐妹你们了。
注:本平台验方、疗法仅供参考,请勿盲目试药
平台不承担由此产生的后果,看病请到正规医院
评论区
默认
正序
倒序
还没有评论,赶快来抢沙发吧~
评论区
默认
正序
倒序
还没有评论,赶快来抢沙发吧~
加载中...
收藏
评论
点赞
善意相伴,健康相随
取消
关闭
返回上层
查看回复
数据加载中...
用户协议及隐私政策
已阅读并同意
《用户协议》
以及
《隐私协议》
同意并继续
不同意
注册 / 登录
获取验证码
登 录
我已阅读并同意
《用户协议》
《隐私协议》
x